반응형
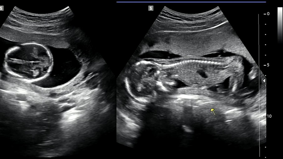
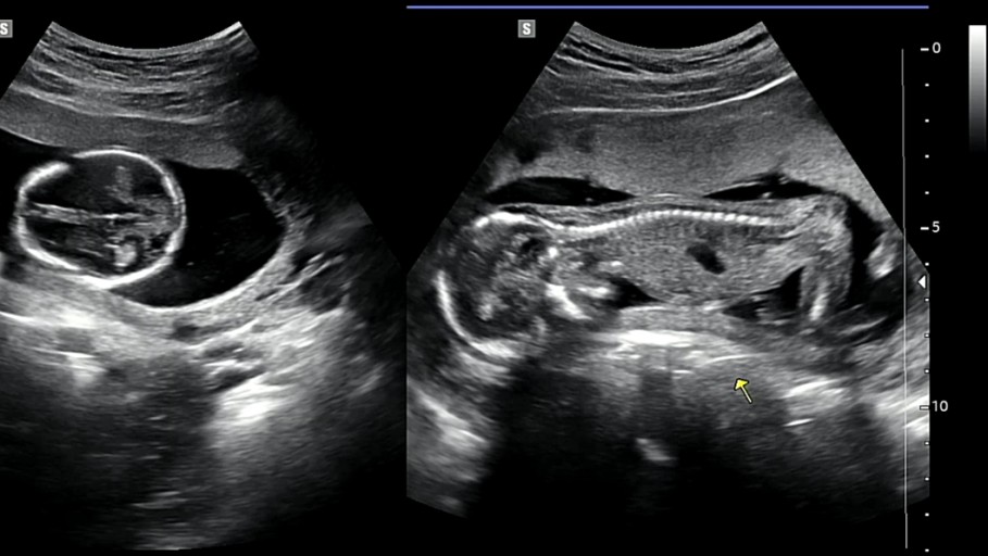
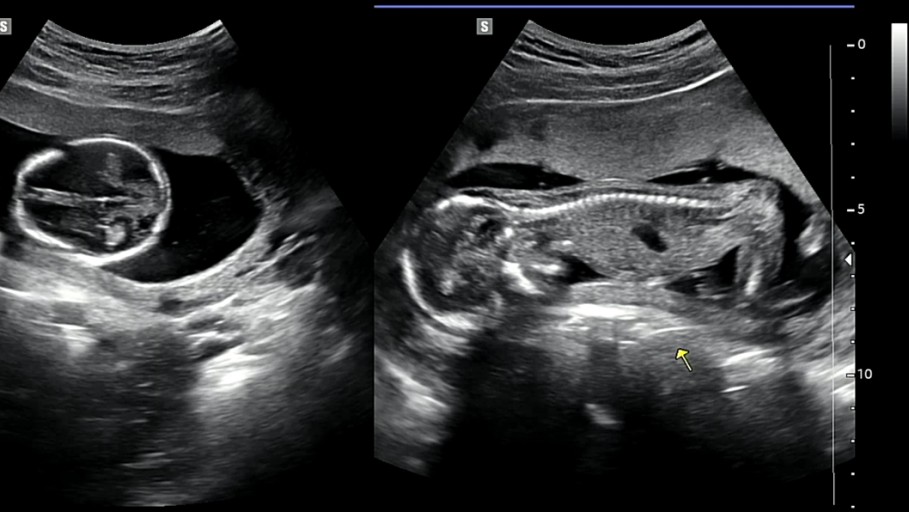
헌법재판소는 오늘(28일) 의료법 20조 2항에 대한 판단을 내리면서, 임신 32주 전까지 의료인이 태아의 성별을 알려주는 것을 금지한 현행 의료법은 헌법에 어긋난다고 판결했습니다.


이 결정은 재판관 6명 중 3명의 의견을 따라 위헌 결정이 내려졌습니다. 헌법재판소는 "태아의 성별 고지를 제한하는 것은 태아의 생명 보호를 목적으로 한 것이지만, 이는 적절한 방법이 아니며 부모의 성별 정보 접근 권리를 불필요하게 제약한다"라고 판결문에서 밝혔습니다.
현재 의료법 제20조 2항은 임신 32주 이전에 의료인이 태아의 성별을 알려줄 수 없도록 규정하고 있었습니다. 이는 남아 선호 사상에 기인한 여아 낙태 예방을 위한 조항으로 설계되었습니다.


그러나 이번 결정은 2008년 헌법재판소의 이전 판결을 재확인한 것입니다. 그 판결에 따라 국회는 2009년에 관련 법을 개정하여 임신 32주부터 성별을 알려줄 수 있도록 허용했습니다.
최근에는 낮은 출산율과 남아 선호 사상의 변화로 인해 부모의 태아 성별 정보 접근 권리에 대한 주장이 높아지고 있습니다.
이번 헌법소원 청구인들은 의료법 조항이 부모의 태아 성별 정보 접근 권리와 행복 추구 권리를 침해한다며 이를 심판해 달라고 청구했습니다.


반응형
'핫이슈' 카테고리의 다른 글
| 서인영 결국 남편과 이혼 이혼사유 원인 귀책사유 남편 직업 (1) | 2024.03.05 |
|---|---|
| 벤 남편 이욱과 이혼 결정 남편 귀책사유 이혼원인 (0) | 2024.02.29 |
| MC몽 코인 상장 뒷돈 관련 증인 출석 검토 (0) | 2024.02.28 |
| 배우 이서진 핫이슈로 떠오른 이유 (0) | 2024.02.28 |
| 쾌걸춘향 재희 상대로 민형사 사기 혐의 피소 연락끊고 연예활동 (0) | 2024.02.28 |